ΕΝΟΤΗΤΕΣ
Τι είναι η οστεοαρθρίτιδα ισχίου;
Η άρθρωση του ισχίου αποτελείται από τη μηριαία κεφαλή και την κοτύλη που περικλείονται από αρθρικό θύλακο, μυς και συνδέσμους οι οποίοι συμβάλλουν στις κινήσεις της βάδισης. Η μηριαία κεφαλή και η κοτύλη καλύπτονται από τον αρθρικό χόνδρο ο οποίος τρέφεται, λιπαίνεται και απορροφά τους κραδασμούς χάρη στο αρθρικό υγρό που υπάρχει εντός του θυλάκου.
Αρθρίτιδα ονομάζουμε γενικά ένα εύρος παθήσεων που παρουσιάζουν οι αρθρώσεις και ενδεικτικά αναφέρεται:
- H οστεοαρθρίτιδα
- Η ρευματοειδής αρθρίτιδα
- Η ψωριασική αρθρίτιδα
- Η μετατραυματική αρθρίτιδα
Σε κάθε τύπο αρθρίτιδας έχουμε μεταβολές στη σύσταση και την ποσότητα του αρθρικού υγρού, βλάβες στο χόνδρο και συμπτωματολογία που ποικίλλει.


Πόσο συχνά εμφανίζεται;
Η οστεοαρθρίτιδα ισχίου είναι μία εξαιρετικά κοινή πάθηση καθώς, σύμφωνα με το CDC, η πιθανότητα να αναπτύξουν συμπτωματική οστεοαρθρίτιδα κάποια στιγμή στη ζωή τους είναι 28,6% για τις γυναίκες και 18,5% για τους άνδρες. Πρόκειται για μια εκφυλιστική αρθρίτιδα που εκδηλώνεται με πόνο, χωλότητα και περιορισμό στο εύρος κίνησης, ενώ τα ακτινολογικά ευρήματα περιλαμβάνουν στένωση του μεσάρθριου διαστήματος, σκλήρυνση, υποχόνδριες κύστεις και παρουσία οστεόφυτων.
Πως αντιμετωπίζεται η αρθρίτιδα ισχίου;
Συντηρητική Θεραπεία
Μετά την κλινική εξέταση και τον ακτινολογικό έλεγχο, ο Ορθοπεδικός προτείνει αρχικά συντηρητικά μέτρα αντιμετώπισης της οστεοαρθρίτιδας, ανάλογα το στάδιο της νόσου στο οποίο βρίσκεται ο κάθε ασθενής. Η συντηρητική αντιμετώπιση περιλαμβάνει:
- Μη στεροειδή αντιφλεγμονώδη
- Αναλγητικά
- Φυσικοθεραπεία
- Απώλεια σωματικού βάρους
- Προσαρμογή δραστηριότητας
- Ενδαρθρικές εγχύσεις υαλουρονικού ή κορτικοστεροειδών
- Αποφόρτιση του σκέλους
Χειρουργική Θεραπεία
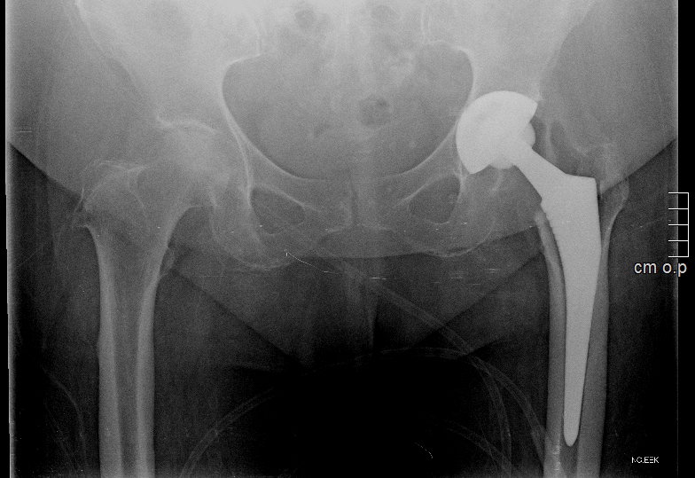
Στις περιπτώσεις που οι ασθενείς με αρθρίτιδα ισχίου δεν βελτιώνονται με τη συντηρητική αγωγή, προτείνεται η χειρουργική αντιμετώπιση με ολική αρθροπλαστική ισχίου. Η συγκεκριμένη επέμβαση έχει χαρακτηριστεί ως μία από τις πιο επιτυχημένες στην ιστορία της ιατρικής, ανεξαρτήτου ειδικότητας. Πρόκειται για αντικατάσταση της άρθρωσης του ισχίου με τη χρήση ενός μηριαίου στειλεού, την τοποθέτηση μιας πρόθεσης στην κοτύλη και τη μεταξύ τους άρθρωση με ειδικό υλικό που περιορίζει την τριβή.
Αρθροπλαστική ισχίου
Η αρθροπλαστική ισχίου μπορεί να γίνει με αρκετές χειρουργικές προσπελάσεις. Η πιο διαδεδομένη είναι σαφώς η οπίσθια προσπέλαση, ενώ πολύ συχνά επιλέγεται η τροποποιημένη κατά Hardinge ή η πρόσθια. Στις σύγχρονες προσπελάσεις ελάχιστης επεμβατικότητας περιλαμβάνονται η SuperPath, η Path, η AMIS και η ALMIS, ενώ πλέον πολλές εξ αυτών συνδυάζονται με συστήματα πλοήγησης ή ρομποτική υποβοήθηση που υπόσχονται ακόμα καλύτερα αποτελέσματα. Η κάθε τεχνική παρουσιάζει πλεονεκτήματα και μειονεκτήματα, ωστόσο η επιτυχής έκβαση της αρθροπλαστικής ισχίου εξαρτάται κυρίως από την ακριβή τοποθέτηση των προθέσεων που θα εξασφαλίσει ομαλή και ανώδυνη κίνηση, ίδιο μήκος στα κάτω άκρα και μακροζωία στα υλικά.
Συνολικά, το αποτέλεσμα της αρθροπλαστικής ισχίου σχετίζεται με πολλούς παράγοντες. Αρχικά από την επιλογή των κατάλληλων υλικών, καθώς υπάρχουν προθέσεις διαφορετικού σχεδιασμού και φιλοσοφίας, ανάλογα με την ανατομία, την ηλικία και τις απαιτήσεις του κάθε ασθενούς. Επιπλέον, καίριας σημασίας είναι η επιλογή της κατάλληλης προσπέλασης και ο ακριβής προεγχειρητικός σχεδιασμός που θα οδηγήσει στο ιδανικό αποτέλεσμα με ασφάλεια. Ο ασθενής πρέπει να είναι πλήρως ενημερωμένος για το πρόγραμμα αποκατάστασης που θα κληθεί να ακολουθήσει, ώστε να έχει από πριν φροντίσει για λεπτομέρειες όπως η πιθανή παρουσία προσώπου για βοήθεια στο σπίτι.
Ο Μπενάκης Λεονάρδος είναι Ορθοπεδικός Χειρουργός και Επιμελητής Ορθοπεδικής Κλινικής του Metropolitan Hospital και εξειδικεύεται στην αρθροπλαστική ισχίου. Κλείστε ραντεβού για εξατομικευμένη διάγνωση και θεραπεία.



